میوم رحم یا همان فیبروم یکی از شایعترین تودههای خوشخیم در رحم است و در بسیاری از افراد تا مدتها هیچ علامتی ایجاد نمیکند. با این حال، در بخشی از افراد میتواند خونریزی قاعدگی را شدید یا طولانی کند، درد و فشار لگنی بسازد یا به کمخونی منجر شود. خبر خوب این است که اغلبِ فیبرومها قابل پیگیری و درمان هستند و برای بیشتر افراد چندین گزینه درمانی، از دارو تا روشهای کمتهاجمی و جراحی، وجود دارد.
میوم رحم چیست و چقدر شایع است؟
فیبرومها که نام پزشکی «لیومیوم/میوم رحم» هم برایشان بهکار میرود تودههایی از سلولهای عضله صاف و بافت همبند هستند که در دیواره رحم یا روی سطح آن رشد میکنند و ممکن است یکتایی یا متعدد باشند. بیشتر فیبرومها خوشخیماند؛ بر اساس منابع معتبر، احتمال سرطانی شدن بسیار نادر است (کمتر از یک مورد در هر هزار) و تاکید میشود که بدخیمیِ «لیومیوسارکوم» معمولاً از یک فیبرومِ قبلی بهوجود نمیآید و داشتن فیبروم بهتنهایی خطر سرطانهای رحم را افزایش نمیدهد.
از نظر شیوع، فیبرومها بسیار رایجاند؛ حدود دو سوم زنان در طول زندگی دستکم یک فیبروم را تجربه میکنند و این تودهها اغلب در سنین ۳۰ تا ۵۰ سال دیده میشوند. همچنین بهطور کلی فیبرومها در سالهای باروری شایعترند و بعد از یائسگی، بهدلیل افت هورمونها، معمولاً کوچکتر میشوند.

فیبرومها کجا رشد میکنند و چرا محلشان مهم است؟
محل رشد فیبروم یا میوم رحم یکی از مهمترین عوامل در تعیین نوع علائم و انتخاب درمان است. تقسیمبندی رایج بر اساس محل شامل سه گروه اصلی است: زیرمخاطی (به سمت حفره داخلی رحم)، داخلجداری/اینترامورال (در ضخامت دیواره عضلانی رحم) و زیرسروزی/سابسروزا (روی سطح خارجی رحم). بعضی فیبرومها نیز روی یک پایه باریک رشد میکنند و «ساقهدار» نامیده میشوند.
اهمیت این دستهبندی در زندگی واقعی این است که محل فیبروم اغلب توضیح میدهد چرا یک نفر بیشتر خونریزی دارد و دیگری بیشتر فشار و تکرر ادرار. برای مثال، فیبرومهای زیرمخاطی معمولاً بیشتر با خونریزی شدید قاعدگی یا لکهبینی ارتباط دارند و چون داخل حفره رحم را درگیر میکنند، میتوانند در برخی افراد روی باروری هم اثر بگذارند.
در مقابل، فیبرومهای بزرگ داخلجداری یا زیرسروزی بیشتر علائم فشاری (مثلاً فشار به مثانه یا روده) ایجاد میکنند. همین تفاوت، روی انتخاب روش تشخیصی و درمانی هم اثر میگذارد؛ برای نمونه، هیستروسکوپی بیشتر برای ارزیابی فیبرومهای داخل حفره رحم بهکار میرود و برخی برداشتهای جراحی از راه هیستروسکوپی دقیقاً برای فیبرومهای زیرمخاطی طراحی شدهاند.
علائم شایع و عوارض مهم
بیشتر افراد مبتلا هیچ علامتی ندارند و فیبرومها گاهی بهطور اتفاقی در معاینه یا تصویربرداری دیده میشوند. اما اگر فیبروم علامتدار شود، نشانههای رایج شامل خونریزی شدید یا طولانی قاعدگی (گاهی همراه با لخته)، درد یا احساس سنگینی در لگن و پایین شکم، بزرگ شدن شکم، تکرر ادرار، یبوست، کمردرد و درد هنگام رابطه جنسی است. شدت علائم معمولاً به اندازه و محل فیبروم بستگی دارد.

یکی از مهمترین عوارض، کمخونی (اغلب کمخونی فقر آهن) ناشی از خونریزی شدید است که ممکن است باعث خستگی، ضعف، سرگیجه، رنگپریدگی، تپش قلب یا تنگینفس شود. اگر فیبرومها ساقهدار باشند، در مواردی ممکن است پیچ بخورند و درد ناگهانی ایجاد کنند. همچنین منابع معتبر اشاره میکنند که فیبرومها در مواردی میتوانند مشکلات باروری ایجاد کنند، اما این موضوع معمولاً «نادر» توصیف میشود و همه افراد مبتلا دچار مشکل باروری نمیشوند.
چرا فیبروم ایجاد میشود و چه کسانی بیشتر در معرض خطرند؟
علت دقیق ایجاد فیبروم یا میوم رحم هنوز کاملاً روشن نیست و احتمالاً ترکیبی از عوامل ژنتیکی و هورمونی در آن نقش دارد. منابع معتبر توضیح میدهند که رشد فیبرومها تحت تأثیر هورمونهای زنانه (بهویژه استروژن و پروژسترون) است؛ به همین دلیل در سالهای باروری شایعترند، در بارداری ممکن است بزرگتر شوند و بعد از یائسگی معمولاً کوچکتر میشوند.
عوامل خطر شامل افزایش سن تا حوالی یائسگی، سابقه خانوادگی، اضافهوزن یا چاقی، و برخی زمینههای نژادی/قومیتی (برای مثال گزارش شیوع بالاتر در زنان سیاهپوست) است. برخی منابع همچنین فشار خون بالا را در کنار عوامل خطر دیگر ذکر کردهاند. همچنین در برخی موارد به ارتباط الگوی غذایی (مثلاً مصرف زیاد گوشت قرمز) با افزایش خطر و مصرف بیشتر سبزیجات سبز با اثر محافظتی اشاره شده است.

تشخیص چگونه انجام میشود و چه زمانی باید مراجعه کرد؟
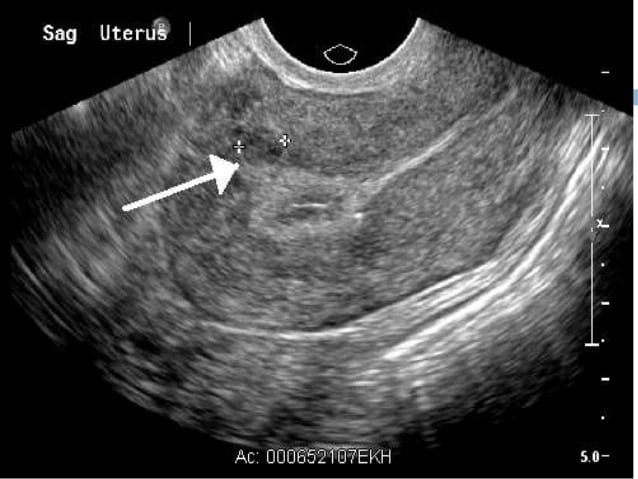
تشخیص معمولاً با شرححال و معاینه لگنی شروع میشود؛ پزشک ممکن است در معاینه به بزرگ شدن یا نامنظمی شکل رحم شک کند. رایجترین آزمون تصویربرداری برای تأیید فیبروم، سونوگرافی لگن است که میتواند از روی شکم یا بهصورت واژینال انجام شود. در صورت نیاز، روشهایی مثل هیستروسکوپی (برای دیدن حفره رحم و بررسی فیبرومهای زیرمخاطی) یا گاهی روشهای تکمیلی دیگر به کار میآید و در برخی موارد نمونهبرداری نیز ممکن است انجام شود.
اگر خونریزی شدید دارید، آزمایش خون مثل CBC و ارزیابی آهن میتواند کمخونی را نشان دهد. خونریزی شدید قاعدگی معمولاً یعنی خونریزی بیش از ۷ روز، یا نیاز به تعویض نوار/تامپون در فاصله کمتر از حدود دو ساعت، یا خونریزی که فعالیتهای عادی را مختل کند؛ در چنین شرایطی توصیه میشود برای ارزیابی به پزشک مراجعه کنید.

همچنین اگر درد لگنی مداوم یا رو به بدتر شدن دارید، اگر علائم کمخونی (مثل خستگی شدید یا تنگینفس) پیدا کردهاید، اگر برای باردار شدن مشکل دارید، یا اگر پس از یائسگی هر نوع خونریزی حتی خفیف رخ داده، بهتر است بررسی پزشکی را به تعویق نیندازید.
درمانهای رایج میوم رحم و انتخاب بهترین گزینه برای هر فرد
اصل کلیدی این است که همه فیبرومها نیاز به درمان ندارند. اگر علامتی ندارید یا نشانهها خفیف است، گاهی فقط پیگیری دورهای کافی است؛ بهویژه نزدیک یائسگی که بسیاری از فیبرومها کوچکتر میشوند و علائم کاهش مییابد.
اگر مشکل اصلی خونریزی و درد قاعدگی باشد، درمانهای دارویی برای کنترل علائم مطرح میشود؛ سیستم داخلرحمی حاوی لوونورژسترل میتواند خونریزی را کم کند؛ ترانگزامیک اسید برای کاهش خونِ قاعدگی بهکار میرود؛ و داروهای ضدالتهاب غیراستروئیدی (مثل ایبوپروفن) به کاهش درد و تا حدی کاهش خونریزی کمک میکنند. بسته به شرایط، قرصهای جلوگیری یا پروژستوژنها نیز میتوانند برای کنترل خونریزی استفاده شوند.
برای «کوچک کردن» فیبروم و کاهش علائم فشاری، داروهایی مثل آنالوگهای GnRH گاهی (از جمله پیش از جراحی) استفاده میشوند، اما معمولاً کوتاهمدتاند و ممکن است عوارض شبهیائسگی یا کاهش تراکم استخوان داشته باشند؛ در برخی رویکردها، همراهی با دوزهای پایین هورمون برای کاهش عوارض مطرح میشود. همچنین بعضی داروها به دلیل نگرانیهای ایمنی (مثل خطر آسیب کبدی) مصرف محدود و پایش دقیق میخواهند.

چطور بفهمیم که فیبروم دفع شده است؟
اگر علائم متوسط تا شدید باشد یا درمان دارویی کافی نباشد، گزینههای مداخلهای شامل میومکتومی (حفظ رحم)، برداشت هیستروسکوپیک فیبروم زیرمخاطی، آمبولیزاسیون شریان رحمی و هیسترکتومی (درمان قطعی) است. در نهایت، درمان باید بر اساس شدت علائم، محل و اندازه فیبروم، و ترجیح فرد بهویژه درباره حفظ باروری انتخاب شود.
فیبروم، بارداری و باروری
اکثر افرادِ دارای فیبروم میتوانند بارداری سالم داشته باشند، اما فیبروم ممکن است احتمال برخی عوارض از جمله درد شکمی در بارداری، زایمان زودرس، و افزایش احتمال سزارین را افزایش دهد. در برخی گزارشها، افزایش خطر سقط جنین نیز مطرح شده است، هرچند بسیاری از بارداریها بدون مشکل پیش میروند.
محل و اندازه فیبروم همانطور که اشاره شد اهمیت زیادی دارد؛ فیبرومهای زیرمخاطی یا فیبرومهای بزرگ میتوانند شکل حفره رحم را تغییر دهند یا (بهندرت) مسیر لوله فالوپ را مسدود کرده و باردار شدن را دشوارتر کنند. از طرف دیگر، نوع درمان هم مهم است؛ زیرا برخی درمانها مثل هیسترکتومی امکان بارداری را از بین میبرند و برخی درمانهای حفظکننده رحم مثل میومکتومی ممکن است در شرایطی نیاز به ملاحظات ویژه مثل تصمیمگیری درباره روش زایمان ایجاد کنند.
زندگی با فیبروم و نکات خودمراقبتی
فیبروم برای بسیاری از افراد قابل مدیریت است؛ کلید کار این است که علائم خود را ثبت کنید و مسیر درمان را متناسب با نیازتان انتخاب کنید. اگر خونریزی شدید دارید، ارزیابی و درمان کمخونی (بررسی CBC و آهن و در صورت نیاز مکمل آهن طبق نظر پزشک) میتواند خستگی و ضعف را کمتر کند. ثبت الگوی خونریزی و شدت آن (مثلاً تعداد نوار/تامپون و روزهای خونریزی) میتواند به پزشک در تشخیص و انتخاب درمان کمک کند.
تغییرات سبک زندگی ازجمله کاهش مصرف گوشت قرمز و افزایش مصرف سبزیجات سبز جایگزین درمان نیست، اما نقش حمایتی دارد و کنترل وزن و فعالیت بدنی منظم میتواند به کاهش برخی عوامل خطر عمومی کمک کند.





بدون نظر