بیماری که عموماً در میان مردم و بهویژه در ارتباط با کودکان به نام تب برفکی معروف شده، در حقیقت همان «بیماری دست، پا و دهان» (Hand, Foot, and Mouth Disease یا HFMD) است. این بیماری یک عفونت ویروسی بسیار شایع و خفیف است که کودکان خردسال را درگیر میکند، اگرچه ممکن است که بزرگسالان را نیز مبتلا سازد.
این عفونت با بثورات پوستی مشخص در دستها و پاها و زخمهای دردناک در دهان شناخته میشود و با تب برفکی خطرناک دامها (FMD) که تقریباً به انسان منتقل نمیشود، کاملاً متفاوت است. درک ماهیت HFMD برای مدیریت علائم و جلوگیری از گسترش آن در محیطهای آموزشی و خانواده ضروری است.

تب برفکی و عامل ایجادکننده آن
تب برفکی در انسان (HFMD) توسط گروهی از ویروسها به نام «انتروویروسها» ایجاد میشود. شایعترین عامل بیماریزا، کوکساکی ویروس A16 است، اما انتروویروسهای دیگری نظیر انتروویروس ۷۱ نیز میتوانند باعث بروز این بیماری شوند. این ویروسها بسیار مسری هستند و در خانوادهای طبقهبندی میشوند که شامل ویروس فلج اطفال و سایر ویروسهای گوارشی هستند. این ویروسها به راحتی در شرایط محیطی مختلف مقاومت میکنند.
این ویروسها پس از ورود به بدن، در دستگاه گوارش و دستگاه تنفسی تکثیر پیدا میکنند و پس از یک دوره نهفتگی معمولاً ۳ تا ۶ روزه، وارد جریان خون میشوند. حملات ویروس به مخاط دهان و بافتهای اپیدرمی دست و پا منجر به تشکیل وزیکولها و زخمهای مشخصه بیماری میگردد. ماهیت RNA ویروسها، اگرچه مانند تب برفکی دامها دارای سویههای متعدد نیست، اما عامل ایجاد تنوع در شدت علائم و طول دوره بیماری در افراد مختلف است.
درک این نکته ضروری است که علائم مشابه دهانی و پوستی در این بیماری و بیماری دامی، صرفاً تشابه اسمی در زبان عامه ایجاد کرده، در حالی که عامل بیماریزا در دامها Aphthovirus بوده و کاملاً از انتروویروس عامل HFMD در انسان متفاوت است. این تمایز بسیار مهم است.

راههای انتقال بیماری تب برفکی (HFMD)
بیماری دست، پا و دهان یک بیماری بسیار واگیردار است و انتقال آن به راحتی در محیطهایی که کودکان در تماس نزدیک با یکدیگر هستند، مانند مهدکودکها و مدارس، صورت میگیرد. ویروس عامل این بیماری از راههای مختلفی منتقل میشود و پایداری آن در محیط، کنترل شیوع را نیازمند دقت بالا میسازد.
ویروس HFMD عمدتاً از طریق تماس مستقیم با ترشحات فرد بیمار منتقل میشود. این ترشحات شامل بزاق، ترشحات بینی و گلو، مایع درون تاولها و مهمتر از همه، مدفوع فرد بیمار است. به دلیل عدم رعایت کامل بهداشت دست در کودکان، این ویروس میتواند برای مدتی طولانی در محیط باقی بماند و از طریق تماسهای غیرمستقیم گسترش یابد.
- تماس مستقیم: تماس نزدیک، از جمله در آغوش گرفتن، بوسیدن یا تماس مستقیم با تاولهای باز و ترشحات تنفسی فرد بیمار.
- ذرات معلق تنفسی: انتشار ویروس در هوا از طریق سرفه یا عطسه فرد آلوده که میتواند توسط افراد دیگر استنشاق شود.
- سطوح آلوده (Fomites): لمس اشیا یا سطوح آلوده به ویروس، مانند اسباببازیها، دستگیرههای در یا میزهای تعویض پوشک و سپس تماس دست آلوده با دهان، چشم یا بینی.
- انتقال از راه دهانی-مدفوعی: این شایعترین راه انتقال، بهویژه در نوزادان و کودکان خردسال است. این انتقال زمانی رخ میدهد که ذرات ویروسی موجود در مدفوع فرد بیمار به طور غیرمستقیم به دهان فرد سالم برسد (مثلاً پس از تعویض پوشک و شستشوی ناقص دستها).

علائم تب برفکی در انسانها
HFMD معمولاً یک بیماری خفیف است، اما علائم آن میتواند برای کودکان و والدین آزاردهنده باشد. درک روند ظهور علائم به تشخیص سریع و مدیریت بیماری کمک میکند.
این بیماری معمولاً با علائم غیراختصاصی شبیه به سرماخوردگی یا آنفولانزا آغاز میشود. اولین نشانهها معمولاً شامل تب خفیف تا متوسط، کاهش اشتها، احساس ناخوشی عمومی و گلو درد هستند. یک تا دو روز پس از شروع تب، مشخصترین علائم بیماری ظاهر میشوند که شامل ضایعات پوستی و دهانی هستند.
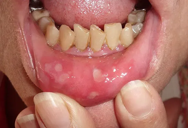
زخمهای دردناک دهانی (Herpangina)
پس از شروع تب، زخمهای کوچکی که به سرعت به تاولهای دردناک تبدیل میشوند، در دهان ظاهر میشوند. این زخمها معمولاً در زبان، لثهها، سقف دهان و داخل گونهها دیده میشوند. پاره شدن این وزیکولها، زخمهای کمعمق و دردناکی را باقی میگذارد که بلعیدن و خوردن را برای کودک دشوار میسازد و میتواند منجر به کمآبی بدن شود.

بثورات پوستی در دست و پا
ضایعات پوستی بهصورت لکههای قرمز کوچک یا جوشهای برجسته (گاهی همراه با تاول) معمولاً در کف دستها و کف پاها ظاهر میشوند. این بثورات اغلب خارش ندارند، اما میتوانند در لمس دردناک باشند. همچنین ممکن است که این بثورات در نواحی دیگری مانند باسن، زانو یا آرنج نیز مشاهده شوند.
علائم عمومی و تب
تب معمولاً اولین علامت است و در اکثر موارد خفیف باقی میماند. بیقراری، به خصوص در نوزادان و کودکان نوپا به دلیل درد دهان، از دیگر علائم رایج است. دوره بیماری معمولاً ۷ تا ۱۰ روز به طول میانجامد و در بیشتر موارد به صورت خودبهخود و بدون درمان خاصی بهبود مییابد.

روشهای پیشگیری از تب برفکی
از آنجایی که هیچ واکسنی برای پیشگیری از HFMD وجود ندارد، بهترین روش برای کنترل آن، رعایت دقیق اصول بهداشت فردی و محیطی است. این اقدامات، سد دفاعی مؤثری در برابر ویروسهای بسیار واگیردار به شمار میروند.
جلوگیری از انتقال ویروس از فرد به فرد و از طریق سطوح آلوده، هسته اصلی برنامه پیشگیری را تشکیل میدهد. با توجه به اینکه این بیماری در کودکان بسیار سریع گسترش مییابد، اقدامات پیشگیرانه باید به صورت مداوم در خانه و مراکز آموزشی اجرا شوند.
- شستشوی مکرر دستها: این مهمترین اقدام پیشگیرانه است. باید دستها را بهطور مرتب با آب و صابون (حداقل ۲۰ ثانیه) شست، بهویژه پس از تعویض پوشک، استفاده از توالت و قبل از تهیه غذا و صرف خوراک.
- ضدعفونی کردن سطوح: سطوح و اشیایی که اغلب لمس میشوند، مانند اسباببازیها، دستگیرههای در و میزها، باید بهطور منظم با مواد ضدعفونیکننده مناسب (مانند محلول سفیدکننده رقیق شده) تمیز شوند.
- دوری از تماس نزدیک: اجتناب از بوسیدن، در آغوش گرفتن و به اشتراک گذاشتن ظروف غذاخوری یا حوله با افراد بیمار.
- قرنطینه خانگی (در زمان بیماری): کودکان مبتلا به HFMD باید تا زمانی که تب آنها قطع شود و زخمهای بازشان بهبود یابند، از مهدکودک یا مدرسه دور بمانند تا از انتقال بیماری به دیگران جلوگیری شود.

درمان و کنترل بیماری تب برفکی
HFMD معمولاً یک بیماری خفیف است و در اغلب موارد بدون نیاز به درمان پزشکی خاص و به صورت خودبهخود در طی ۷ تا ۱۰ روز بهبود مییابد. هدف اصلی در مدیریت این بیماری، کاهش علائم و جلوگیری از کمآبی بدن است.
به دلیل ماهیت ویروسی HFMD، هیچ داروی ضدویروسی یا درمان اختصاصی برای ریشهکن کردن آن در دسترس نیست. درمان بر پایه مراقبتهای حمایتی و تسکین درد استوار است. حفظ هیدراتاسیون کافی بدن اهمیت حیاتی دارد؛ زیرا زخمهای دهانی اغلب باعث میشوند کودکان از خوردن و نوشیدن امتناع کنند. والدین باید مطمئن شوند که کودک مایعات خنک و نرم مانند آب، دوغ یا ژله مصرف میکند و از مصرف غذاها و نوشیدنیهای اسیدی، شور یا تند که زخمها را تحریک میکنند، پرهیز شود.
برای کنترل تب و کاهش درد ناشی از ضایعات دهانی، میتوان از داروهای بدون نسخه مانند استامینوفن یا ایبوپروفن (تحت نظر پزشک) استفاده کرد. استفاده از دهانشویههای موضعی یا اسپریهای بیحس کننده که توسط پزشک توصیه شدهاند، میتواند به طور موقت درد زخمهای دهان را تسکین دهد تا کودک بتواند مایعات موردنیاز خود را بنوشد. در موارد بسیار نادر، اگر کودک دچار تب بالا یا کمآبی شدید شود، مراجعه به پزشک برای دریافت مراقبتهای تخصصی و مایعات وریدی ضروری است.





بدون نظر